Imagerie numérique
Radiologie
Echographie
L’échographie vétérinaire est une technique d’imagerie en temps réel par ULTRASONS, donc absolument sans danger pour votre animal.
Endoscopie
RADIOgraphie
La clinique vétérinaire Mazetier possède un appareil de radiographie numérique avec la modalité capteur plan. Cette technologie permet d’obtenir une radiographie de qualité optimale sur un écran d’interprétation en moins de 5 secondes.
Echographie
L’échographie vétérinaire est une technique d’imagerie en temps réel par ULTRASONS, donc absolument sans danger pour votre compagnon.
C’est un outil indispensable au diagnostic et au suivi de bon nombre de pathologies.
Pour améliorer la qualité de l’examen, il est parfois nécessaire de tondre l’animal afin d’éliminer l’air entre les poils (car ces derniers empêchent le passage des ultrasons). C’est aussi pour cette raison que vous verrez les échographistes appliquer du gel sur les zones à échographier afin d’avoir de meilleurs images.
L’échographie est par ailleurs très souvent utilisée pour réaliser des examens complémentaires comme des ponctions ou des cystocentèses.
N’hésitez pas à nous demander conseil pour obtenir davantage d’informations
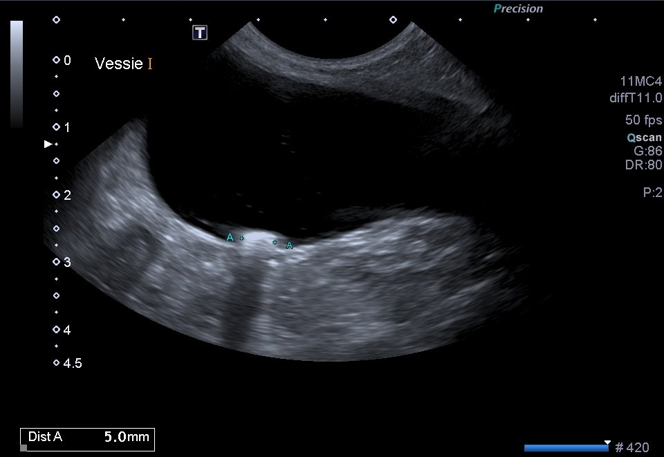
Échographieabdominale
Les échographies abdominales permettent de diagnostiquer des affections digestives, hépatiques, pancréatiques, uro-génitales, endocriniennes et tumorales.
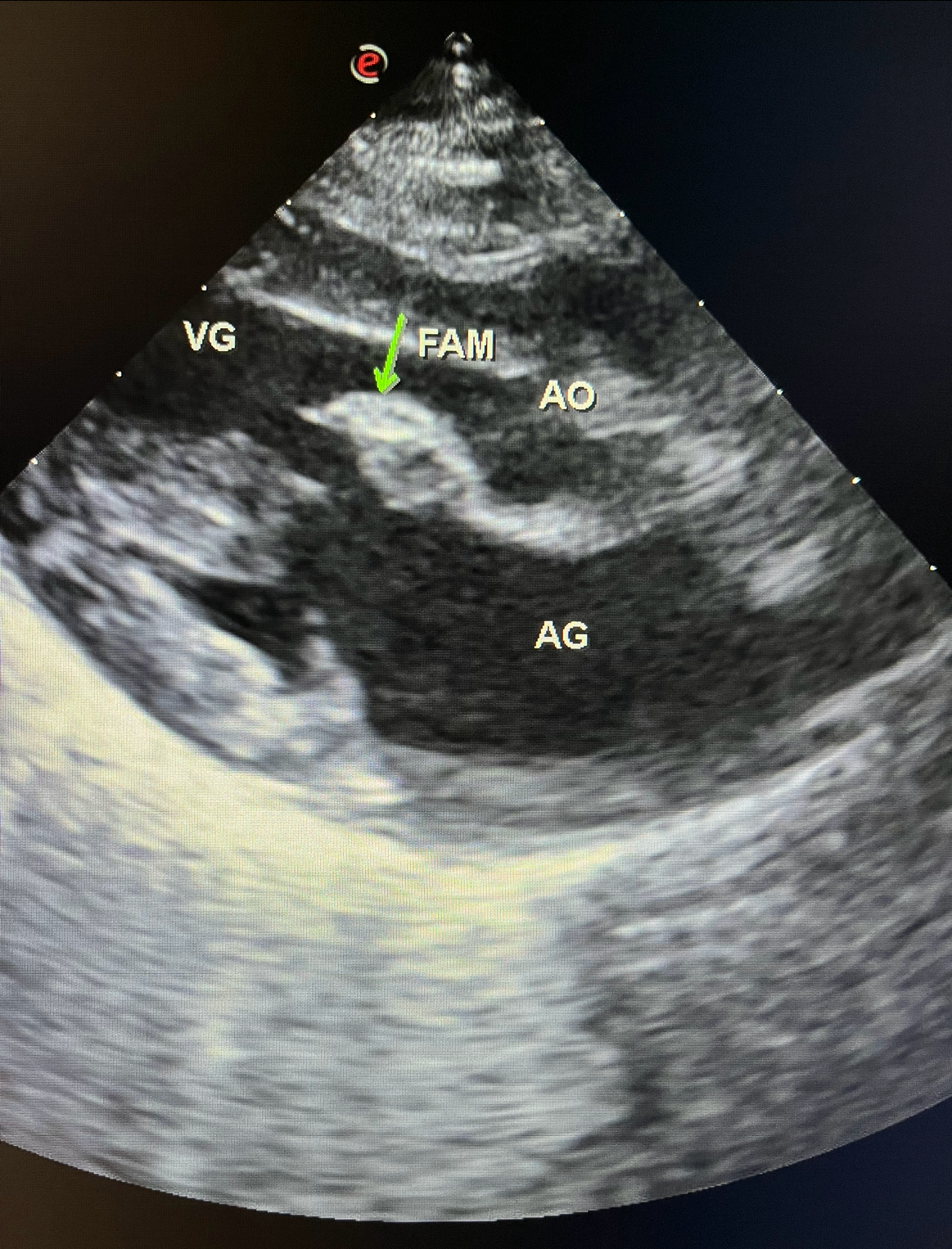
Échographie Cardiaque
Les échographies thoraciques permettent quand à elle d’étudier et de suivre l’évolution des pathologies cardiaques mais également d’observer des épanchements ou des tumeurs thoraciques.
Endoscopie
L’endoscopie ou fibroscopie vétérinaire est une technique d’imagerie qui permet d’explorer l’intérieur de certains organes « creux » ou cavités de votre animal de compagnie à l’aide d’une fibre optique.
Cet examen est réalisé sous anesthésie générale.
Il permet d’explorer les voies respiratoires (cavités nasales, larynx, trachée, bronches…),
le tube digestif (pharynx, œsophage, estomac, intestins, colon…), diverses
articulations (coudes, épaules, hanches, genoux, tarses…) et de faire des
prélèvements bactériologiques,
des biopsies ou encore de
retirer des corps étrangers.
Nous disposons d’un endoscope à la clinique Mazetier, n’hésitez pas à nous contacter pour avoir plus d’informations.







